SEOUL THE NATURE

Orthodontics by Condition

See how things change when you come to Seoul The Nature Dental Clinic.
We let our results speak for themselves.

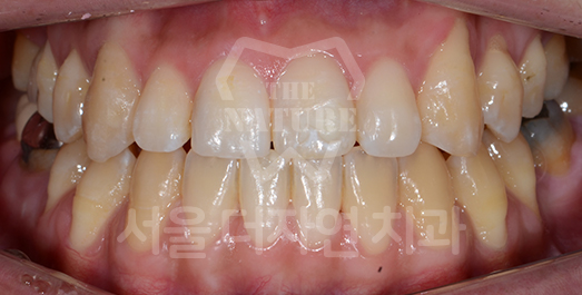
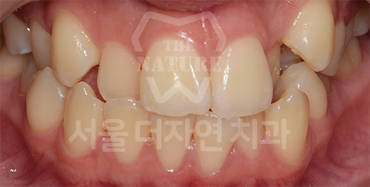
Crowding (Supernumerary / Overlapping Teeth) Solution

Crowding occurs when there is insufficient space for teeth to erupt into proper position. If left untreated for a prolonged period, inadequate brushing access leads to food impaction between teeth and a significantly elevated risk of dental caries. As crowding is also a contributing factor to periodontal disease,
orthodontic correction is strongly recommended.

  • BEFORE: 2020.06.11

  • AFTER: 2023.02.02

Diastema (Spacing) Solution

We first diagnose whether the spacing is generalized throughout the dentition or localized to specific areas such as the anterior teeth. Treatment involves attaching orthodontic appliances and
moving the teeth into the vacant spaces to achieve proper alignment.

  • BEFORE: 2020.11.12

  • AFTER: 2023.04.06

Retrognathia (Receding Chin) Solution

Cases where the maxilla is normal but the mandible is underdeveloped, and cases where the maxilla is protruded with a normal mandible, can appear visually similar.
Therefore, accurate diagnosis and a precise treatment plan are essential.

  • BEFORE: 2012.12.27

  • AFTER: 2016.04.09

Facial Asymmetry Solution

If the cause is simply a dental occlusal discrepancy, conventional orthodontic treatment alone may be sufficient. If the issue is muscular rather than skeletal,
treatment involves adjusting muscle volume. In severe cases, treatment requires
mandibular osteotomy or orthognathic surgery.

  • BEFORE: 2012.10.12

  • AFTER: 2014.04.10

Open Bite Solution

An intraoral expansion appliance is used to expand the dental arch and create space within the dentition. A maxillomandibular traction device is then applied to move the maxilla anteriorly and retract the mandible posteriorly.

  • BEFORE: 2011.07.07

  • AFTER: 2013.01.18

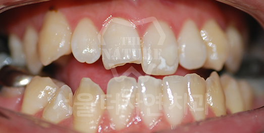
Deep Bite (Excessive Overbite) Solution

A mandibular anterior repositioning appliance is used to normalize the jaw position, and composite resin is applied to the occlusal surfaces of the posterior teeth
to balance the bilateral occlusal plane. Orthodontic treatment is then performed to align the dentition
and establish proper occlusion.

  • BEFORE: 2020.05.28

  • AFTER: 2023.06.01

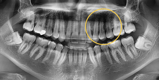
Impacted Tooth Solution

An impacted tooth remaining within the alveolar bone can cause damage to adjacent teeth. Orthodontic traction is used to guide the impacted tooth into its correct position,
allowing it to erupt and seat normally within the dental arch.

  • BEFORE: 2011.08.12

  • AFTER: 2013.07.08

Side effects such as root resorption and gingival recession may occur. All photographs were taken under identical conditions
and are published with the patient's written consent.

Consultation

Quick Consultation