SEOUL THE NATURE

Navigation Implant

Using digital technology that previews your results before treatment,
we find the most optimal implant placement position for you.

  • Preview your implant placement results through digital simulation surgery.

    By integrating digital technology into the implant procedure, this is a systematic digital implant surgery method that enables precise identification of the optimal placement position.

    DIGITAL IMPLANT

SEOUL THE NATURE

Navigation Implant

Just like a GPS navigation system that guides you on the right path,
our Navigation Implant uses digital technology to map out the optimal surgical route.

Through 3D simulation surgery, we precisely determine the implant placement position
for a systematic digital implant procedure with zero margin for error.

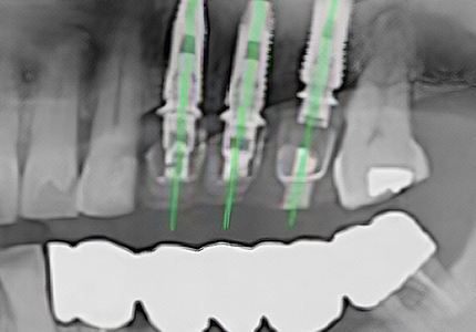
  • Conventional Implant

    Difficulty achieving optimal angulation during placement

  • Digital Implant

    Balanced with opposing dentition for long-term implant function

Navigation Implant Procedure

  • 3D Diagnosis via CT Scan

    Using 3D data from CT imaging and dental models, we perform a comprehensive and precise diagnosis that considers bone, gingiva, and nerve anatomy.

  • Computer-Based Surgical Planning

    We perform a virtual simulation surgery on the computer to determine the precise placement position, then fabricate a custom surgical guide for accurate execution.

  • Guide-Assisted Surgery

    The custom surgical guide is seated intraorally prior to surgery, enabling systematic placement at the planned position with minimal margin of error.

Natural implant placement at the simulation-planned position, with a prosthesis that feels just like your own natural tooth.

Surgery is performed through a small access opening just large enough for implant placement — without gingival incision — offering the advantage of minimal pain and faster recovery.

We won't miss even
a 0.01mm margin of error.

  • Detailed analysis of bone tissue and nerve location

  • Precise selection of optimal implant position

  • Fast and streamlined treatment process

  • Minimally invasive procedure with reduced bleeding, pain, and swelling for faster recovery

  • Systematic Digital Implantology

    At Seoul The Nature Dental Clinic, we utilize 3D digital equipment to evaluate each patient's oral condition in detail — including tooth root length, morphology, alveolar bone thickness, and bone density. We develop a fully customized implant placement plan tailored to each patient.

Consultation

Quick Consultation