SEOUL THE NATURE

The Nature Implant System is Different.

Another level of implant treatment, available at Seoul The Nature Dental Clinic.

Why are implants at Seoul The Nature Dental Clinic so well known?

01

POINT

More than
10,000 cumulative
implant placements
with zero major medical accidents

Skilled dentistry is proven by results. This is why so many patients choose implants at Seoul The Nature Dental Clinic.

  • Recognized for high-volume Osstem implant placement

  • Recognized implant treatment clinic

  • Osstem research advisory dental clinic

Implants last longer
when you choose
Seoul The Nature Dental Clinic.

  • An ethical clinic focused on preserving natural teeth Unnecessary treatment no need to worry

  • Pain-reduction system for comfortable implant placement Fear no need to worry

  • Extensive clinical experience, including advanced cases Safety no need to worry

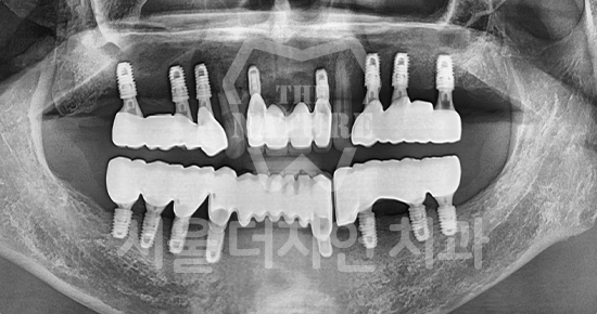
Various Implant Treatment Cases

#Full Mouth Implants
  • BEFORE: 2022.12.15

  • AFTER: 2023.02.23

#Sinus Lift
  • BEFORE: 2021.02.01

  • AFTER: 2021.05.13

#Maxillary Bone Grafting
  • BEFORE: 2021.11.02

  • AFTER: 2022.01.19

Treatment outcomes may vary by patient,
and side effects may occur. These images were taken under the same conditions,
and were published with the patient's consent.

02

POINT

With a flapless technique that significantly reduces swelling, pain, and bleeding, recovery is faster after surgery.

Flapless implant placement is a method in which the implant is placed without making a gum incision. It can be performed when bone grafting is not required and there is sufficient attached gingiva. Because swelling, pain, and bleeding are reduced,
patients can usually return to daily life the very next day.

  • Incision Method
  • Flapless Method

More bleeding and
swelling

Swelling /
Bleeding

Minimal swelling and
bleeding

Higher risk of
inflammation and infection

Risk of Infection

Reduced risk of
inflammation and infection

Longer recovery period

Recovery Time

Faster recovery
possible

  • 03

    POINT

    Surgery? No longer something to fear. Sedation implant treatment that feels over when you wake up.

    At Seoul The Nature Dental Clinic, implant placement can be performed in a relaxed, sedated state that feels like sleep. Using the same principle as sedation endoscopy, comfortable treatment is possible.

  • Conscious Sedation

    Rather than risky general anesthesia, treatment is performed in a safe, consciously sedated state.

  • Reduced Fear and Pain

    Fear and discomfort are reduced, allowing treatment in a relaxed and comfortable state, almost like sleeping.

  • Reduced Dental Anxiety

    Because of the amnesic effect, patients wake up without unpleasant memories, and can usually return home shortly after treatment, similar to sedation endoscopy.

04

POINT

With no adhesive cement used, inflammation and side effects are reduced

Hynes Implant

The Hynes implant system does not use adhesive cement, which can become a cause of gum inflammation and prosthetic detachment. As a result, the risk of peri-implantitis and prosthetic loosening can be reduced. Because plaque and calculus accumulate less easily, the implant can be used more safely for a longer period of time.

  • Fully Digital Workflow

    From scanning to prosthesis fabrication, digital technology is applied to achieve faster and more precise treatment.

  • Cement-Free Connection Method

    Because cement is not used during placement, the possibility of inflammation and revision surgery due to residual cement is dramatically reduced.

  • Dual Safety Structure

    With double secure fixation between the crown and abutment, follow-up care is easier and maintenance is more convenient.

  • Reduced Risk of Complications

    With accurate fixation and a safe structure, the risks of peri-implantitis and prosthetic fracture are reduced.

05

POINT

An implant that bonds with bone more quickly

Plasma Implant

A next-generation technology that cleans the surface, accelerates osseointegration, and improves implant success.

What Is a Plasma Implant?

Using plasma technology, impurities are removed from the implant surface, improving biocompatibility, accelerating bone integration, and shortening recovery time.

Outstanding performance of plasma implants
demonstrated by Harvard School of Dental Medicine researchers

According to research conducted by the Harvard School of Dental Medicine, plasma implants showed excellent osseointegration, reduced bone loss, shorter healing time, and improved long-term stability.

Why plasma surface treatment
is essential

During the manufacturing, transportation, and long-term storage process, hydrocarbons can accumulate on the implant surface over time, reducing biocompatibility. Plasma implants use high-energy plasma to remove these hydrocarbons and reactivate the surface to restore high biocompatibility.

Plasma implants,
the key to faster recovery

  • Enhanced Osseointegration Speed

    Surface activation through plasma cleaning -> faster bone integration -> shorter recovery period

  • Removal of Bacteria and Contaminants

    99.9% removal of microscopic contaminants minimizing inflammation and infection risk

  • Improved Biocompatibility

    Plasma treatment improves surface hydrophilicity -> enhanced blood and protein adhesion -> an implant more readily accepted by the body

  • Improved Primary Stability

    Improved attachment of bone cells helps secure greater implant stability

06

POINT

Not all Osstem implants are the same.

At Seoul The Nature Dental Clinic,
among Osstem implants, we use only the premium lines SOI and BA implants.
The higher the grade, the greater the hydrophilicity,
allowing faster bone formation

SOI implants with enhanced blood affinity and
bone-forming potential

We use Osstem’s premium SOI implant line, which improves initial bone formation through rapid blood wetting and increased protein adhesion.

  • SA
  • SOI
One of the keys to long-lasting implants
is the quality of the material.
Implant treatment at Seoul The Nature Dental Clinic uses only high-quality materials.

07

POINT

A 3D intraoral scanner that eliminates conventional impressions. From diagnosis to treatment,
digital technology makes care more convenient.

At Seoul The Nature Dental Clinic, a 3D intraoral scanner enables more accurate and more comfortable care.

Experience the comfort of
digital dentistry for yourself.

    • Traditional Impression Taking

    • Stone Model Fabrication

  • Higher risk of measurement error
  • Simple Scanning Process

  • Precise data acquisition
  • Higher risk of measurement error
  • Traditional Impression Taking

  • Stone Model Fabrication

  • Precise data acquisition
  • Simple Scanning Process

Without conventional rubber impression material,
teeth can be scanned easily using a digital method, and the scanned data allows the fabrication of
more precise prostheses with reduced error.

Category

Conventional Impressions

Method

3D Intraoral Scanner

5 to 15 minutes

As little as 30 seconds (average 3 minutes)

Time Required

Not highly accurate (differences may occur depending on patient bite force)

Accuracy

High (real-time scan with high-resolution video, capturing patient information directly)

Manual work by a dental technician

Design

Computer-aided design (CAD)

Additional visit required after stone model fabrication

Need for Return Visit

Consultation possible on the same day as impression taking while reviewing the model

Yes (long holding time, unpleasant texture, smell, gag reflex)

Patient Discomfort

Minimal (teeth scanned in a short time using a small scanner tip)

08

POINT

Full-mouth implants are highly advanced treatment that require precise upper and lower occlusal harmony. Patients themselves have proven us to be
a clinic specialized in full-mouth implant surgery.

Full-mouth implants are among the more complex dental procedures. They require careful decision-making, precise diagnosis based on each individual condition, and ongoing postoperative care after placement. With extensive experience in full-mouth implant treatment, Seoul The Nature Dental Clinic can provide systematic planning, placement, and follow-up care. Many patients continue to visit us through recommendations as a trusted clinic for full-mouth implants.

Dentures VS Full-Mouth Implants

Category

Removable
(Take-out type)

Usage Method

Fixed
(Implants + Prosthetic Fixation)

Weak (requires adhesive)

Retention

Strong (does not come out)

40% of natural teeth

Chewing Force

90% of natural teeth

Requires periodic care due to jawbone resorption

Maintenance

Similar to caring for natural teeth

Jawbone resorption occurs

Long-Term Outcome

Jawbone is preserved

Limited

Food Choices

Similar to natural dentition

Moves inside the mouth

Mobility

Does not move
inside the mouth

09

POINT

More trustworthy implant care, patent application filed

Through extensive implant clinical experience and research, Seoul The Nature Dental Clinic has filed a patent application for a "Dental Implant Unit and Procedure Method and System Using the Same." (Application No. 10-2019-0059169)

Seoul The Nature Dental Clinic
is a clinic specialized in dental implants.

  • Advanced Implant Surgical Center

    Even patients with highly complex surgical conditions are not turned away. Based on extensive experience in advanced implant cases, we provide the most appropriate implant solutions.

  • Implant Revision Referral Clinic

    Using advanced equipment and extensive clinical expertise, our specialists identify the exact cause of implant failure and provide precise solutions through detailed analysis.

  • A clinic recommended by our own staff to their families

    We strive to provide the highest level of satisfaction in equipment, systems, and medical expertise, so that we can confidently recommend our clinic to those closest to us.

From implant roots to abutment and crown

Personalized Implants for You

Customized Implant Fixture
Carefully Selected Brands 100% Genuine Products
  • Osstem Implant

  • DIO Implant

Customized Abutment
Custom Abutment System
  • Conventional Method
    • Gap may occur between prosthesis and abutment, causing instability

    • Uneven force distribution increases risk of prosthetic fracture

    • Food debris may accumulate between implant and gum, increasing risk of peri-implantitis

  • Seoul The Nature Dental Clinic
    • Lower risk of detachment or fracture

    • Less food impaction

    • Helps prevent peri-implantitis

Customized Prosthesis
Zirconia – The Diamond of Dental Prosthetics

PFM Prosthesis

VS

Zirconia Prosthesis

Outer – Porcelain
Inner – Metal

Material

Zirconia Block

Dark metal line visible along gum margin

Esthetics

Similar to natural teeth,
no dark line

Strong inner structure
but weak outer layer

Strength

Stronger and more durable
than gold or ceramic

  • We use strong and highly aesthetic premium zirconia crowns that resemble natural teeth.

    Zirconia is often called the diamond of dental prosthetics. It provides excellent strength and aesthetics. Since it is entirely ceramic, it does not cause dark discoloration around the gum line.

Customized Anesthesia
Pain Control & Sedation System

Are you postponing implants due to pain or fear? Seoul The Nature Dental Clinic offers comfortable implant treatment.

  • An anesthesia device that reduces syringe pressure to minimize injection pain

  • An anesthesia ampoule warmer that adjusts anesthetic temperature close to body temperature to reduce discomfort

  • A sedation anesthesia system that allows comfortable implant placement through conscious sedation

Our treatment warranty system
provides extra peace of mind.

    • Authenticity Certificate Issued
    • Warranty & After-Service System
    • Lifetime Dental Care System
    • Regular Recall Service
    • Periodic Oral Hygiene Education

    All warranty services apply when patients follow the clinic's care instructions and attend scheduled follow-up examinations.

Consultation

Quick Consultation