SEOUL THE NATURE

Same-Day Implant

  • We place the implant and complete the prosthesis at the same time.

    Our implant expertise — all in a single visit! With Same-Day Implant, placement and
    temporary prosthesis fabrication are completed on the same day.

ONE DAY IMPLANT

How is same-day placement & prosthesis
possible?

  • 3D simulation surgery to calculate optimal placement position

  • Temporary prosthesis completed so you can return to daily life

  • Minimally invasive placement for faster recovery

Using 3D CT imaging and an intraoral scanner, a virtual simulation surgery is performed in advance to determine the surgical position. The suprastructure position is predicted post-operatively, and the prosthesis is fabricated ahead of time —
allowing the prosthesis to be attached immediately after surgery on the same day.
This is the Navigation Implant method.

Dramatically Shorter Treatment Time,
Same-Day Implant

Type

Extraction

Implant Placement

Abutment Connection
After Osseointegration

Prosthesis

Conventional Implant

Approximately 1–3 months

Same-Day Implant

Completed Same Day

(Prosthesis finalized
immediately after surgery)

Eligibility Criteria for Same-Day Implant

  • Minimal alveolar bone loss around the surgical site

  • Adequate alveolar bone density surrounding the apex of the tooth to be extracted

  • Sufficient bone volume at the intended implant site

  • Little to no infection at the extraction and placement site

Eligibility for Same-Day Implant is determined based on
each patient's alveolar bone condition.

Same-Day Implant Procedure

  • 01 3D Precision Diagnosis
    3D Precision Diagnosis

    Customized treatment planning
    tailored to each individual patient

  • 02 Intraoral Scan
    Intraoral Scan

    Precise oral data acquisition
    using a digital intraoral scanner

  • 03 Surgical Guide Fabrication
    Surgical Guide Fabrication

    Patient-specific guide design
    based on 3D diagnostic data

  • 04 One-Day Implant Placement
    One-Day Implant Placement

    Accurate and stable implant placement
    using the surgical guide

  • 05 Immediate Temporary Prosthesis
    Immediate Temporary Prosthesis

    Temporary prosthesis fabricated
    on the day of surgery at our partner dental lab

  • 06 Function & Esthetics Restored
    Function & Esthetics Restored

    Masticatory function and esthetics
    restored with prosthesis delivery

Treatment Begins Before Surgery

CT Precision Analysis & 3D Simulation

All preparations for surgery day are completed in advance during this phase.

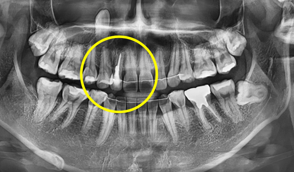
  • Precise analysis of alveolar bone and nerve location via CT scan

    Precise analysis of
    alveolar bone & nerve location via CT scan

  • 3D analysis to determine implant placement position, angulation, and depth

    3D analysis to determine
    implant placement position, angulation & depth

  • Patient-specific surgical guide fabrication

    Patient-specific surgical guide fabrication

  • Pre-fabrication of implant abutment and prosthesis

    Pre-fabrication of implant abutment and prosthesis

Surgery Day: Precisely as Planned

Guide-Based Implant Placement

The critical phase that minimizes unnecessary error and connects the prosthesis on the same day.

Before Treatment

Before Treatment

After extraction, precise placement using surgical guide followed by pre-fabricated abutment connection

After extraction, precise placement using surgical guide,
followed by connection of
pre-fabricated abutment

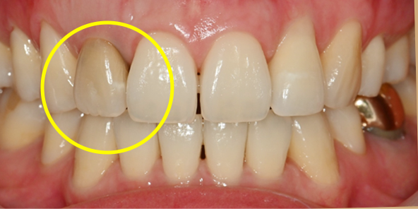
Prosthesis completed on the day of surgery

Prosthesis completed on surgery day

After 2 months, replaced with final prosthesis if gingival contour changes or as needed

After 2 months, if gingival contour changes
or as needed, replaced with final prosthesis

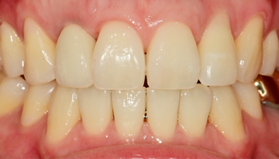
Final Implant Results

BEFORE/AFTER
BEFORE
BEFORE
AFTER
AFTER

Consultation

Quick Consultation