The Nature Dental Clinic’s
Flapless Implants

Comfortable, low-pain flapless implants
for faster return to daily life

Flapless implants that allow
a faster return to daily life

What Are Flapless Implants?

Unlike conventional implant surgery, this method does not cut the gum.
Instead, a very small opening of about 2 mm is made
for implant placement
as a conservative surgical approach. It usually involves less pain after surgery
and minimal bleeding,
allowing patients to return to daily life quickly. Since there are usually
no stitches to remove,
the number of follow-up visits may also be reduced.

Benefits of
Flapless Implants

  • Minimal Bleeding / Pain

    Because the gum is not incised,
    bleeding, swelling, and pain are minimal

  • Quick Return to Daily Life

    Because pain and swelling are minimal,
    patients can often return to daily life
    right after surgery

  • Fewer Visits

    Since there are usually
    no stitches to remove,
    fewer follow-up
    visits may be needed
    than with conventional implants

  • Lower Infection Risk

    Because there is no incision,
    fewer blood vessels are exposed,
    which may lower the risk of infection

Flapless Implants vs Conventional Implants

Conventional Implants Flapless Implants
A method that incises the gum
to place the implant
A method that places the implant through
a minimal opening without incising the gum
More bleeding and swelling ㅣ longer recovery
Higher risk of inflammation and infection ㅣ longer treatment and follow-up
Minimal swelling and bleeding ㅣ lower infection risk
Faster recovery ㅣ daily life possible on the same day ㅣ
better gum-line esthetics
Conventional Implants
A method that incises the gum
to place the implant
More bleeding and swelling ㅣ longer recovery
Higher risk of inflammation and infection ㅣ longer treatment and follow-up
Flapless Implants
A method that places the implant through
a minimal opening without incising the gum
Minimal swelling and bleeding ㅣ lower infection risk
Faster recovery ㅣ daily life possible on the same day ㅣ
better gum-line esthetics

For flapless implants,
the doctor’s experience matters

Because flapless implant surgery is performed through only a small opening
in the gum,
it requires sufficient experience and clinical expertise.

Many
flapless implant cases (as of June 2024)
More than 95% of implant surgeries were flapless implants

  • Osstem Implant
    Multiple Placement Award

  • Osstem Implant Research Advisory Clinic

  • DIO Implant
    Excellent Implant Clinic

Before & After

See treatment results of flapless implants
from Seoul The Nature Dental Clinic,
designed for faster recovery

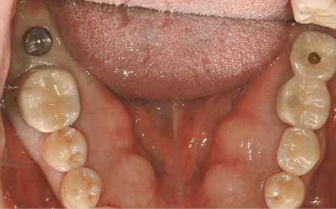
Case 01
Before Implant Placement Right After Flapless Implant Placement

Photo Date : 2024.12.05

Case 02
Before Implant Placement Right After Flapless Implant Placement

Photo Date : 2024.06.19

All before-and-after treatment photos were taken
with the patient’s consent.
All photos show the same patient before and after treatment,
and no image editing was made
except for brightness adjustment.
As all treatments may involve side effects,
treatment should be provided only after sufficient consultation with the doctor.

Consultation

Quick Consultation