SEOUL THE NATURE
Gingival Contouring
-
When excessive gum coverage makes the smile look heavy
Gingival Contouring
to Restore the Anterior Smile LineEven when the teeth are well aligned, a smile may still appear less aesthetic if too much gingiva is exposed. Gingival contouring, also called gingivectomy, is a procedure that helps restore symmetry and harmony
to the visible length of the anterior teeth.Gingivectomy
What Is Gingival Contouring?
Gingival contouring refers to gingivectomy or gingivoplasty. It is a periodontal aesthetic procedure that removes excessive gum tissue covering the teeth and reshapes an uneven or asymmetric gingival line to create balance between tooth length and the gingiva.

Gingival Design Based on the Golden Proportions of the Front Teeth
"Even with the same gingivectomy procedure, the overall impression can look completely different depending on how the proportions are designed." At Seoul The Nature Dental Clinic, we comprehensively analyze the following factors to design a gingival line that suits each patient.

-
The individual width-to-length ratio of each front tooth
-
The symmetry and harmony of both central incisors
-
The lip line and smile line visible during smiling
-
Its relationship with future orthodontic or prosthetic treatment planning
Gingival Contouring Is Recommended for the Following Cases
It is not simply about trimming the gums. The treatment is designed so that the teeth, gingiva, and lips appear harmonious together.
-
When excessive gingival display while smiling causes concern about a gummy smile
-
When the visible lengths of the front teeth are uneven and the smile appears asymmetric
-
When the anterior smile line still looks somewhat awkward even after orthodontic or prosthetic treatment
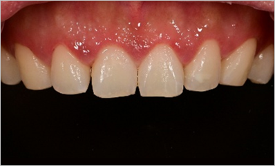
Before & After
See the clinical changes directly
from gingival contouring treatment at Seoul The Nature Dental Clinic
before and after treatment
|
|
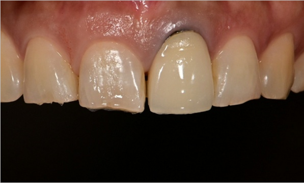
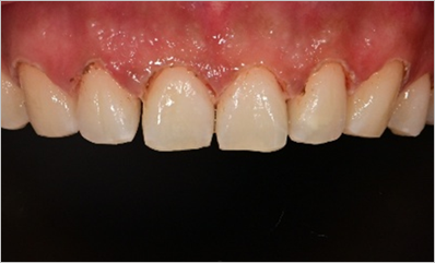
| Before Treatment | After Treatment |
|
|
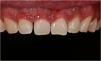
| Before Treatment | After Gingival Contouring + Laminate Veneers |
|
|
|
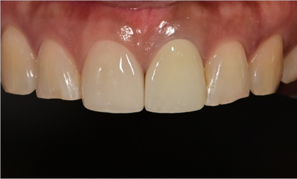
| Before Treatment | Immediately After Treatment | 1 Week After Treatment |
SEOUL THE NATURE
Post-Treatment Instructions After Gingival Contouring
The speed of healing and the final gingival line may vary depending on early postoperative care.
Please follow the instructions below carefully.
You may eat 2 hours after the procedure, but please avoid hot or hard foods for several days.
Do not lift the gums to check the area or touch it with your fingers or tongue.
Do not spit. Swallow saliva to help minimize bleeding.
Toothbrushing may begin the next day. Interdental brushes and dental floss should be used gently starting 3 days later.
Please avoid strenuous exercise, sauna, alcohol, and smoking for 1 week.
MOHW-Certified Specialists
provide your care.
Seoul The Nature Dental Clinic is committed to advanced dental treatment.