Seoul The Nature Dental Clinic's
Full-Mouth Implants Are Different.
Unlike single or dual implant cases, full-mouth implant restoration is a high-complexity surgical procedure that rehabilitates the entire oral cavity. It is a treatment that demands extensive clinical experience and specialized implant expertise.
With full-mouth implants, who performs it and how much experience they have determines the outcome.
Seoul The Nature Dental Clinic's full-mouth implant program is equipped with advanced diagnostic and surgical equipment on par with university hospitals, and all procedures are personally performed by Director Dr. Kim Min-su, with over 20,000 implant placement cases.
Not necessarily!
Implants only need to be placed
where truly required.
In full-mouth implant cases, implants are placed only where needed, and the remaining gaps are restored using a bridge (pontic) method — minimizing the total number of implants while achieving masticatory force comparable to natural teeth, helping to reduce the financial burden.
Full-mouth implant restoration is categorized into full placement or minimal placement approaches.
In full-mouth implant cases, implants are placed only where needed, and the remaining gaps are restored using a bridge (pontic) method — minimizing the total number of implants while achieving masticatory force comparable to natural teeth, helping to reduce the financial burden.
-
01
Full PlacementUsing a method of placing 8–9 implants in the maxilla and 8 implants in the mandible, this approach fully restores all 28 natural teeth, creating an oral environment most closely resembling
natural dentition. -
02
Minimal PlacementUsing a method of placing 6–7 implants in the maxilla and 6 in the mandible, this approach restores both posterior and anterior teeth, efficiently rehabilitating the entire oral cavity.
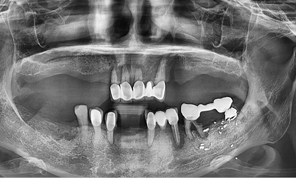
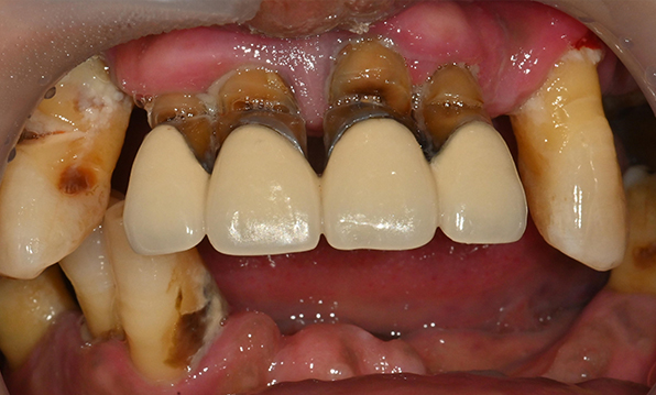
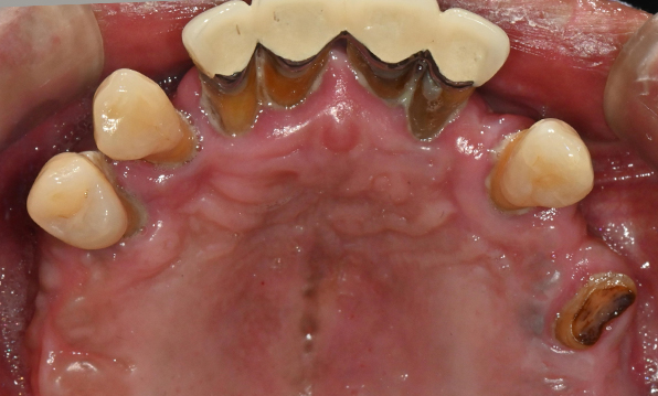
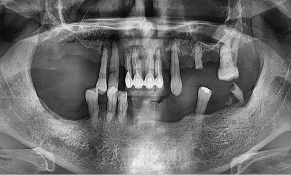
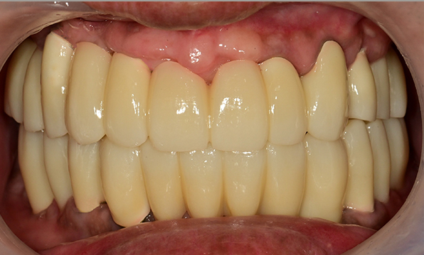
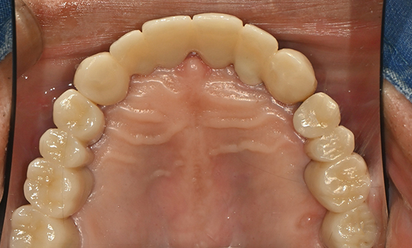
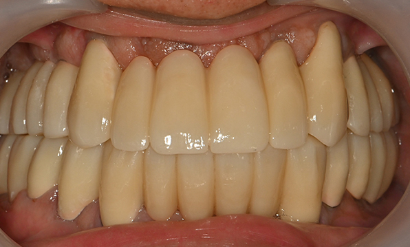
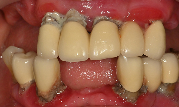
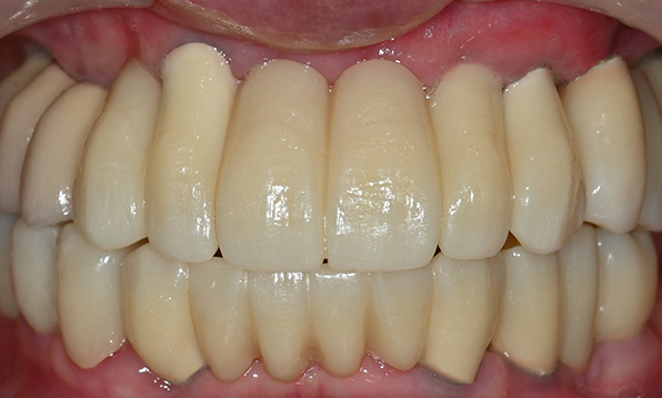
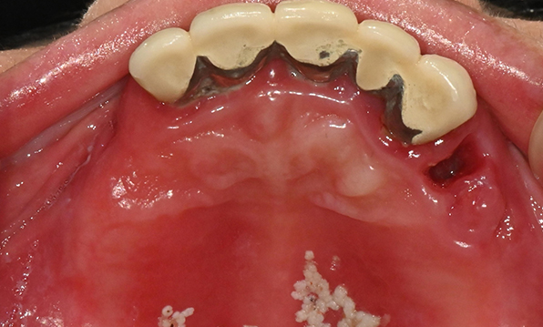
Before & After
|
|
|
|
|
|
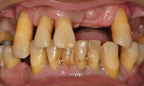
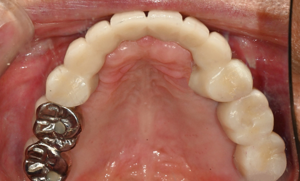
| Before | After |
|
|
|
|
|
|
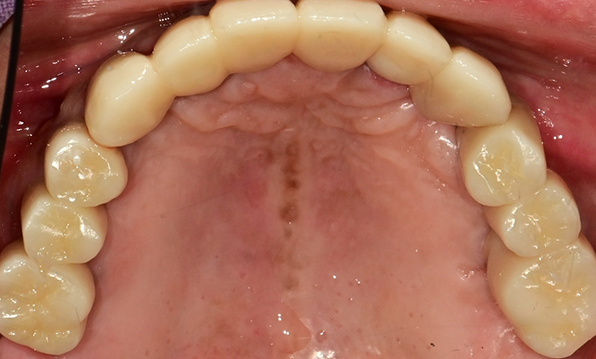
| Before | After |
|
|
|
|
|
|
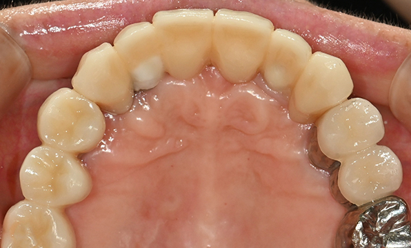
| Before | After |
|
|
|
|
|
|
| Before | After |
MOHW-Certified Specialists
provide your care.
Seoul The Nature Dental Clinic is committed to advanced dental treatment.