SEOUL THE NATURE

검게 변한 잇몸

  • 잇몸이 검게 보여 미소가 어색해질 때

    검게 변한 잇몸 개선치료

    밝은 치아인데도 잇몸이 어둡게 보인다면 그 원인은 치아 내부 변색일 가능성이 높습니다. 이러한 경우에는 내부에서 일어난 변색 원인을 제거한 후 자연치아와 유사한 색조를 띠는 재료를 이용해 치아를 복구합니다.

    RE-CROWN

왜 잇몸이 검게 보일까요?

신경치료를 받은 치아는 시간이 지나면서 내부에서 변색이 진행됩니다. 이때 기존 크라운이나 재료의 영향으로
빛이 비치면서 잇몸이 푸르게 보일 수 있습니다. 겉으로 보이는 잇몸 색의 문제는 실제로는 치아 내부에서 시작된 변화입니다.

1단계
신경치료를 받은 치아

신경치료 후 시간이 지나면서
치아 내부에서 변화가 시작됩니다.

신경치료를 받은 치아
2단계
치아 내부 변색

치아 내부 조직이 변색되며
어둡고 탁한 색조로 변합니다.

치아 내부 변색
3단계
잇몸이 푸르게 보이는 현상

변색된 치아가 빛을 투과하면서
잇몸이 푸르거나 검게 보일 수 있습니다.

잇몸이 푸르게 보이는 현상

RE-CROWN 치료

RE-CROWN은 겉이 아닌 내부부터 바꾸는 치료입니다. 기존 크라운을 제거한 뒤 치아 내부의 변색 원인을 제거하고 자연치아와 유사한 색조로 복원한 후 세라믹 크라운으로 마무리합니다.

단순 크라운 교체

겉모습만 새 크라운으로 바꿔도 치아 내부 변색은 그대로 남아 있습니다.

  • 치료 전
    치료 전

    내부 변색으로 인해 잇몸이 푸르게 보임

  • 크라운 교체 후
    크라운 교체 후

    겉의 크라운만 새것으로 교체

  • 시간 경과 후
    시간 경과 후

    내부 변색이 남아 있어 다시 푸르게 보임

한계

  • 내부 변색은 그대로
  • 일시적 개선에 그침
  • 재발 가능성 높음
RE-CROWN 치료

내부 변색 원인부터 제거해야 자연스럽고 오래 지속되는 결과를 얻을 수 있습니다.

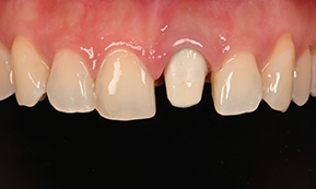
  • 크라운 제거
    크라운 제거

    기존 크라운 제거

  • 내부 변색 제거
    내부 변색 제거

    변색된 내부 조직 정리

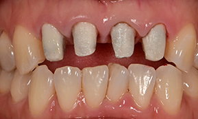
  • 색조 복원
    색조 복원

    자연치아와 유사하게 복원

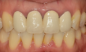
  • 새 크라운 완성
    새 크라운 완성

    세라믹 크라운 마무리

결과

  • 내부 원인 제거
  • 자연스러운 색 회복
  • 지속적인 개선

RE-CROWN 치료과정

과정부터 결과까지 실제증례로 확인해보세요.

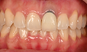
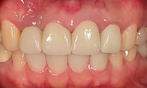
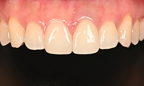
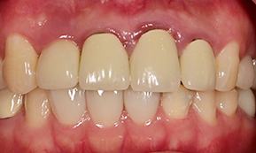
Case 01
BEFORE 내부 변색 요인 제거 내부 복원 AFTER (세라믹 크라운)
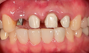
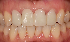
Case 02
BEFORE 내부 변색 요인 제거 내부 복원 AFTER (세라믹 크라운)
Case 03
BEFORE 내부 변색 요인 제거 내부 복원 AFTER (세라믹 크라운)

상담/예약 문의

빠른상담신청